矯正治療について
なぜ矯正治療は必要なの?

きれいな歯並びと美しい笑顔は、相手の方に好感を与え、それにより本人の自信が増し、社会活動を高めるものだと考えています。
矯正治療はそのような見かけばかりでなく、顔や小児時の顎の正しい成長発育を助け、噛み合わせや虫歯や歯周病、顎の病気(顎関節症)を予防し、身体全体の健康を増進させるために行う治療です。
より良い治療には診断が大切
歯並びもきれいになるのと同時に、顔も美しくならなくては意味を成さないと考えています。それゆえに矯正治療には検査、診断が重要になると考えています。
検査では、顔のレントゲン写真、顎関節のレントゲン断層撮影、顔と口腔内写真やマウントした模型などの検査を行います。
これらを元に、歯並びだけでなく、顎の関節(顎関節)を考慮しながらの診断を行い、治療目標を設定して矯正治療を行います。
患者様に治療への理解を高めていただくための手段として、コンピュータによる治療後の歯の位置や口元のシミュレーションも可能です。
治療の開始時期について
不正咬合には骨格型とディスクレパンシー型があります。
骨格型として、受け口・出っ歯・交叉咬合・開咬などがあり、ディスクレパンシー型(顎の大きさと歯の大きさの不調和によるもの)としては、乱ぐい歯(叢生)や八重歯があります。
骨格型は成長に伴い症状が悪化することがあり、顔や顎の適切な発育の阻害にも繋がります。そのため、できるだけ早く治療を始めることをお勧めしています。
目安時期としては、小学校1〜2年生(7〜8歳)に第一期治療を始めることをお勧めしています。
ディスクレパンシー型は歯と顎の大きさの不調和によるものなので、永久歯にすべての歯が生え変わってからの時期である、小学校5〜6年生から中学生頃に治療を始めるのが適切だと考えられます。
いずれにせよ、年齢による制限はなく、60歳や70歳でも矯正治療は可能ですので、不正咬合に気付いた時点でなるべく早く矯正治療を行っている歯科医師にご相談することをお勧めしています。
目立ちにくい矯正治療

矯正治療の方法として様々な歯科医院で行われているものに、マルチブラケット法と呼ばれるものがあります。
これは、歯の表面に小さな装置(ブラケット)を接着して、これに針金(ワイヤー)を結びつけて歯を動かす方法です。
ブラケットは金属製もののほか、目立ちにくさに配慮したものとして、透明のもの(セラミックやプラスチック)もあります。
金属製の矯正装置の見た目に抵抗がある方などにはお勧めできる選択肢といえます。
ほかにもブラケットを歯の裏側につける、裏側矯正の選択も可能です。
もし、装置が目立つからと矯正治療をあきらめていたのなら、セラミックブラケットや裏側矯正法をご案内しています。
歯並びにお悩みがある場合は、お気軽にご相談ください。
※治療結果は個人差があります。
症例
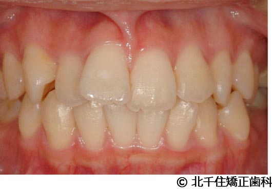
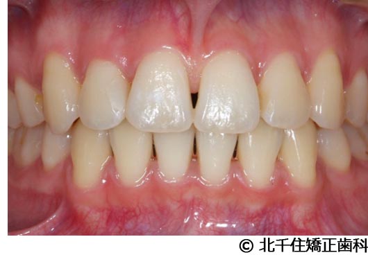
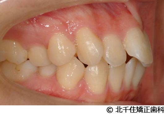
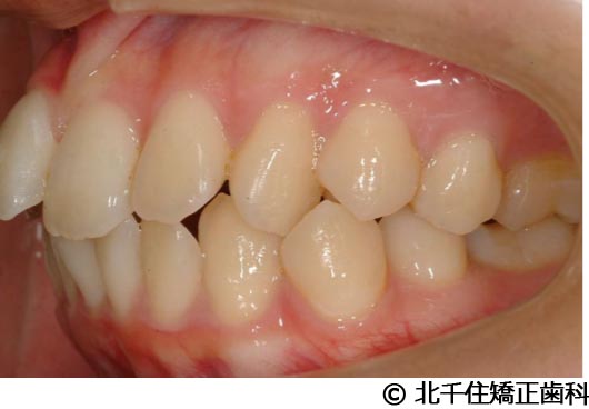
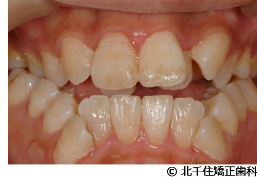
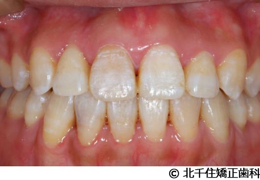
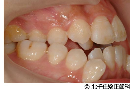
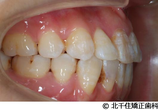
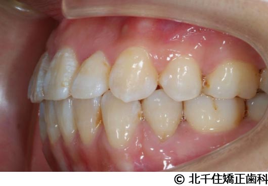
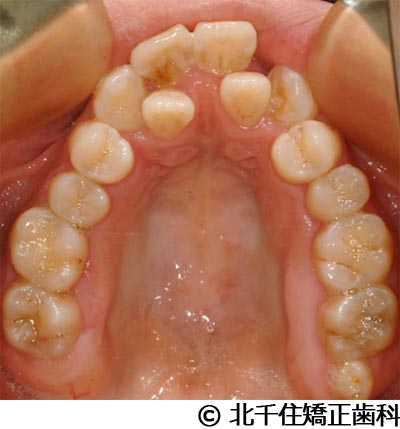
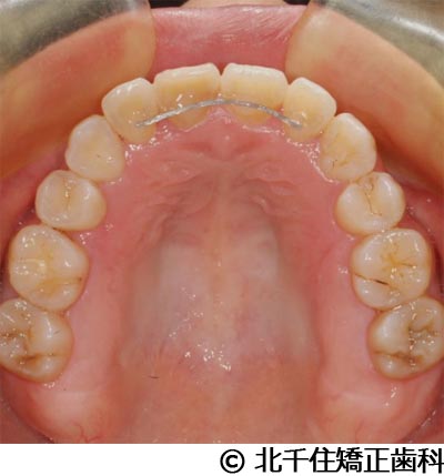
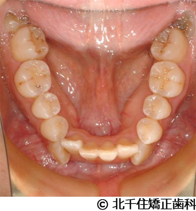
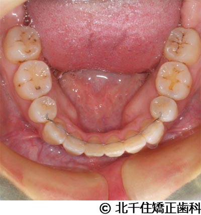
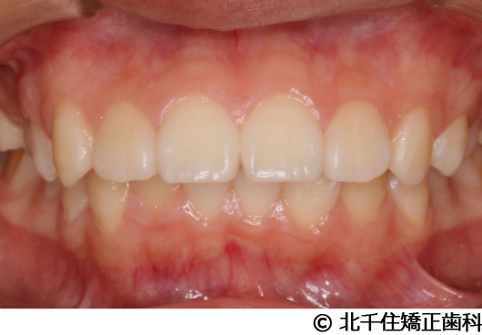
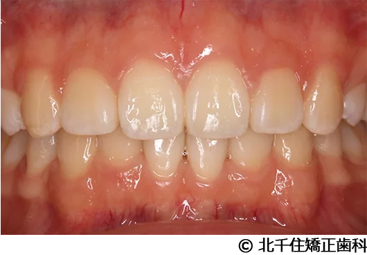
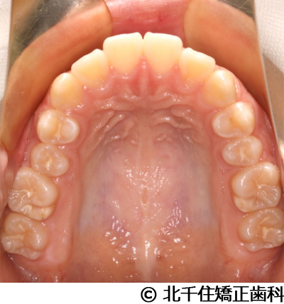
【症例1】顎関節症1
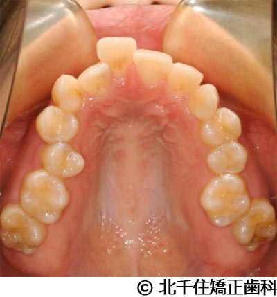
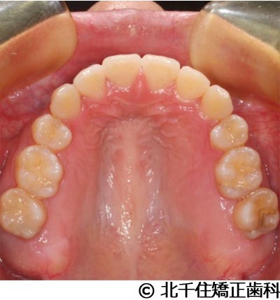
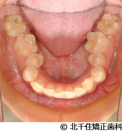
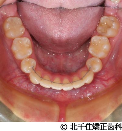
- 治療前
- 治療中
- 治療後
- 治療名
- 顎関節症1
- 費用
- 1,502,000円(税込)
- 期間
- 2年11ヵ月
- 治療回数
- 36回
- 通院頻度
- 1ヵ月ごと
- 年齢・性別
- 24歳9ヵ月・女性(初診時)
治療内容
-
患者様の症状
-
主訴:顎の左側偏位、前歯部叢生、出っ歯
-
治療方法
-
顎関節症(非復位性顎関節円板障害)、スタビライゼーションスプリントにより顎関節の安定化を図り、上下顎小臼歯4本を抜歯して矯正用アンカースクリューを併用してワイヤー矯正治療(セラミックブラケット)。
-
治療結果
-
スプリント療法後に顎位の安定化を図り、矯正治療により歯列および咬合関係の調整を行った症例である。現在は保定装置を使用し、歯列および咬合の安定維持のため定期的な経過観察を行っている。
※治療結果は個人差があります。
治療を行う上での注意点(リスク・副作用)
歯磨き不良に伴うカリエスや歯周病、顎関節症、歯根吸収など。
【症例2】上顎前突症
- 治療前
- 治療中
- 治療後
- 治療名
- 上顎前突症
- 費用
- 1,399,000円(税込)
- 期間
- 3年6ヵ月
- 治療回数
- 42回
- 通院頻度
- 1ヵ月ごと
- 年齢・性別
- 19歳10ヵ月・男性(初診時)
治療内容
-
患者様の症状
-
主訴:出っ歯、口元の突出、横顔をきれいにしたい
-
治療方法
-
骨格性の上顎前突、上下顎第一小臼歯4本及び上顎第二大臼歯を抜歯して矯正用アンカースクリューを併用してワイヤー矯正治療(セラミックブラケット)。
-
治療結果
-
骨格性上顎前突に対し、抜歯および矯正用アンカースクリューを併用した矯正治療により歯列および咬合関係の調整を行った症例である。治療後は保定装置を使用し、歯列および咬合の安定維持を目的として定期的な経過観察を行っている。
※治療結果は個人差があります。
治療を行う上での注意点(リスク・副作用)
歯磨き不良に伴うカリエスや歯周病、顎関節症、歯根吸収など。
【症例3】叢生
- 治療前
- 治療後
- 治療名
- 叢生
- 費用
- 1,125,000円(税込)
- 期間
- 2年1ヵ月
- 治療回数
- 26回
- 通院頻度
- 1ヵ月ごと
- 年齢・性別
- 19歳3ヵ月・女性(初診時)
治療内容
-
患者様の症状
-
主訴:デコボコ、口元の突出
-
治療方法
-
上下顎第一小臼歯4本を抜歯してワイヤー矯正(セラミックブラケット)。
-
治療結果
-
叢生に対し抜歯を併用した矯正治療により、歯列および咬合関係の調整を行った症例である。治療後は保定装置を使用し、歯列および咬合の安定維持を目的として定期的な経過観察を行っている。
※治療結果は個人差があります。
治療を行う上での注意点(リスク・副作用)
歯磨き不良に伴うカリエスや歯周病、歯根吸収など。
【症例4】下顎前突
- 治療前
- 治療後
- 治療名
- 下顎前突
- 費用
- 1,226,000円(税込)
- 期間
- 2年10ヵ月
- 治療回数
- 32回
- 通院頻度
- 1ヵ月ごと
- 年齢・性別
- 28歳5ヵ月・女性(初診時)
治療内容
-
患者様の症状
-
主訴:デコボコ、笑顔のとき歯がきれいに見えるようにしたい
-
治療方法
-
骨格性の下顎前突および開咬、上顎第二小臼歯と下顎第一小臼歯4本抜歯してワイヤー矯正(セラミックブラケット)。
-
治療結果
-
骨格性下顎前突および開咬に対し、抜歯を併用した矯正治療により歯列および咬合関係の調整を行った症例である。治療後は保定装置を使用し、歯列および咬合の安定維持を目的として定期的な経過観察を行っている。
※治療結果は個人差があります。
治療を行う上での注意点(リスク・副作用)
歯磨き不良に伴うカリエスや歯周病、歯根吸収など。
【症例5】上顎前突
- 治療前
- 治療後
- 治療名
- 上顎前突
- 費用
- 1,263,600円(税込)
- 期間
- 2年8ヵ月
- 治療回数
- 32回
- 通院頻度
- 1ヵ月ごと
- 年齢
- 13歳3ヵ月(初診時)
治療内容
-
患者様の症状
-
主訴:出っ歯
-
治療方法
-
骨格性の上顎前突、ヘッドギアを併用して上下顎第一小臼歯4本抜歯してワイヤー矯正。
-
治療結果
-
骨格性上顎前突に対し、ヘッドギアおよび抜歯を併用した矯正治療により歯列および咬合関係の調整を行った症例である。
治療後は保定装置を使用し、歯列および咬合の安定維持を目的として定期的な経過観察を行っている。
※治療結果は個人差があります。
治療を行う上での注意点(リスク・副作用)
歯磨き不良に伴うカリエスや歯周病、歯根吸収など。
治療サービス
| 矯正の種類 | 部分矯正 / 成人矯正 / 目立ちにくいワイヤー / 審美ブラケット |
|---|---|
| 矯正中の治療 | 虫歯治療対応 / 口腔筋機能療法(MFT) / 顎関節症治療 |
| その他のサービス | 抜歯対応 / 矯正再治療相談 |
医院情報
| 住所 | 〒120-0034 東京都足立区千住2-18田辺ビル2階 地図 |
|---|---|
| TEL | 03-3870-3230 ※お電話にてご予約・ご相談いただく場合は、「矯正歯科ネットを見た」と言っていただけるとスムーズです。 |
| FAX | 03-3870-3274 |
| 公式ホームページ |
|
| 診療時間 | 火・水・木・金・土・日曜 10:00〜13:00 / 14:30〜19:00 ※日曜は第2日曜のみ診療
|
| 休診日 | 月・祝 |
| アクセス | JR常磐線・東京メトロ千代田線・日比谷線・つくばエクスプレス『北千住駅』より徒歩5分 |





























